Invisalign $!500 Off ALL INCLUSIVE – BEST DEAL AROUND
No matter what age or stage of life you’re in, there is cosmetic dentistry procedures that can transform your smile. Whether you opt for one minor treatment or an in-depth transformation from Dr. Charmaine Johnson at Premier Smile Center in Fort Lauderdale, upgrading your teeth will make you look happier, healthier, and boost your confidence.
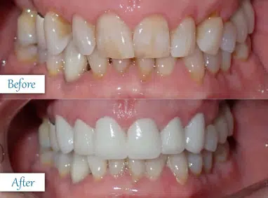
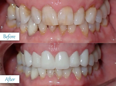
When you want a smile that mimics the flawless teeth of celebrities and VIPs, you can achieve it with the help of porcelain veneers. These super-thin porcelain shields are customized in size, shape, length, and color so they complement your skin tone, face shape, age, and gender. Minimal prep and no-prep porcelain veneers are a two-step process, but the results are worth the wait as this cosmetic dentistry procedure conceals all manner of aesthetic complaints, from chips to cracks, stains to gaps.
When you want to be proud of your smile instead of embarrassed by it, it’s time to consider what a personalized smile makeover would look like for you. Smile makeovers can consist of one cosmetic dentistry treatment or multiple cosmetic and restorative dentistry treatments. Ultimately, the goal is to achieve a fully functional, comfortable, stunning smile that makes you feel like your best self and fits within your budget and comfort level.
Professional teeth whitening remains one of the most popular cosmetic dentistry procedures because it works. In just about an hour, your teeth can be multiple shades whiter and brighter, making them look just about perfect – even if they’re not. Or, you can opt for take-home whitening trays, customized to whiten your teeth alone and keep them white.
Did you skip braces as a teenager? Or maybe you had orthodontics but didn’t wear your retainer. Whatever the reason for your crooked, gapped, or misaligned teeth now, you can get them straightened out without anyone knowing about it. Invisalign is the discreet way to align teeth. The clear and nearly invisible trays are worn for an average of a year to get your teeth roots and crowns in order and give you a gorgeous, straight, pain-free smile.
Fastbraces are a fast, effective alternative to conventional braces. Using innovative technology and a high-performing bracket system, each crooked, tilted, or overlapping tooth is moved upright and into alignment. Using patented triangular-shaped brackets and the natural temperature of the mouth, double alignment of teeth and crowns is expedited and can take as little as three months to one year to complete.
Fillings are for more than just correcting tooth decay. Tooth-colored fillings are white like tooth enamel so whatever repairs you need blend into your smile seamlessly. Composite fillings can be used to correct chips, cracks, stains, and decay, while protecting the tooth from further damage and destruction. Composite material is strong and bonds directly to the tooth, fortifying it and sealing it securely from future invasion.
Feel like people see more gum than teeth when you smile? If you’re plagued by a gummy smile, you don’t have to live with it. Cosmetic gum recontouring is a sophisticated laser technology designed to carefully and permanently remove excess gum tissue and reshape the gums to create a more aesthetically pleasing smile.
Are you ready to upgrade your smile with cosmetic dentistry procedures from Dr. Johnson at Premier Smile Center in Fort Lauderdale? Contact her today to schedule your consultation and learn more about what kind of smile makeover is right for you. Choose the cosmetic dentistry treatments that fit your smile goals.


2717 E Oakland Park Blvd.
Ste 100, Fort Lauderdale, FL 33306